See the
Results

Angel Aligner Case Results with
Complex Movements

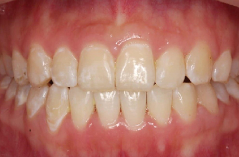
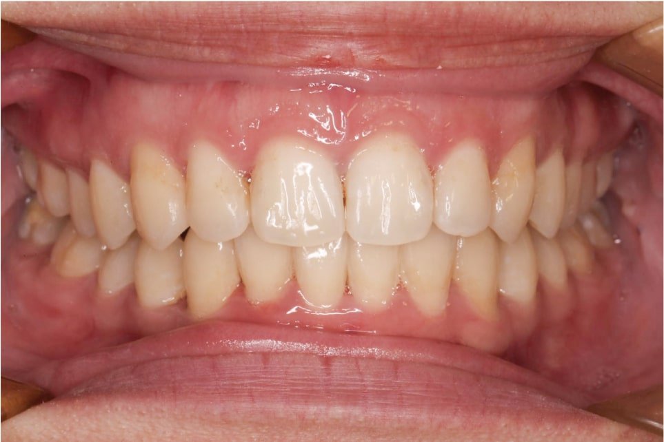
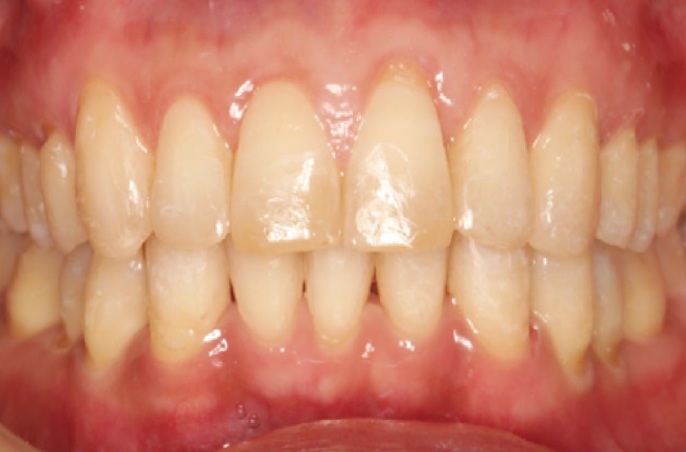
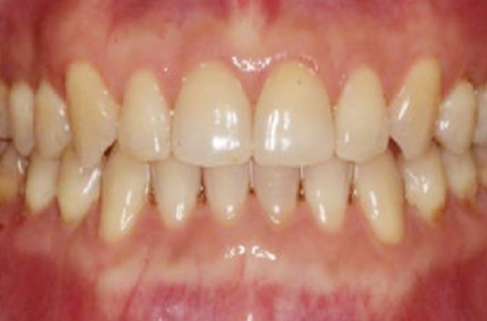
Deep Overbite + Lower Extraction

BEFORE

AFTER

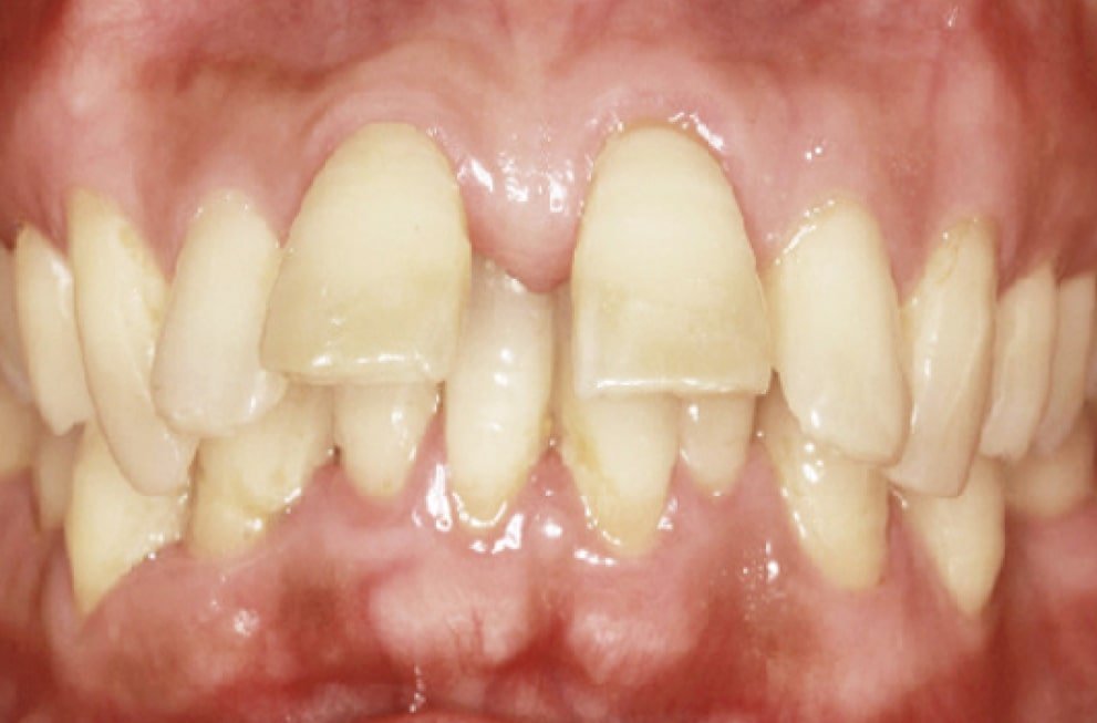
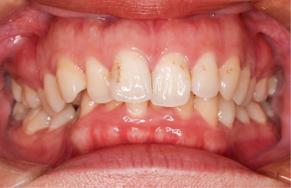
Underbite + Crossbite

BEFORE

AFTER

Open-Bite

BEFORE

AFTER

Deep Overbite + Lower Extraction

BEFORE

AFTER

whatsapp Consult Now